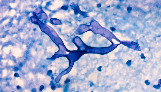
Bengaluru, May 24, 2021: Amid the second Covid wave ebbing across the country, the latest update of black fungus in India reveals that 700 cases of Black Fungus have been reported in Karnataka over the last 7 days.

The state government has issued an order which permits all state-run medical college and district hospitals to provide appropriate treatment for the fungal infection. Black fungus or mucormycosis is a fungal infection that affects the nose, eyes and sinuses. People can get infected by coming in contact with black fungus spores present in the environment. The rare disease has been spreading among COVID-19 patients. TIMES NOW’s Deepak brings in more details to the story.